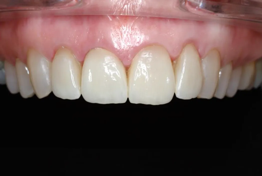
Dental Veneers
Enhance your smile!
Dental veneers can help fix chips, cracks, misalignment, discolouration, or gaps between teeth.
Dental Veneers
Enhance your smile!
What are veneers?
Dental veneers are thin shells placed over the front surface of teeth to enhance their appearance. They may be used as part of a treatment plan for patients with cosmetic concerns such as stained, chipped, gapped, or uneven teeth. Veneers are individually designed to suit each person’s dental characteristics, offering an option to improve the look of your natural teeth while maintaining a balanced smile.
How veneers may help
Depending on your individual needs and suitability, veneers may be used to:- Improve the appearance of teeth with discolouration or intrinsic staining
- Enhance the shape or size of teeth
- Address small gaps between teeth
- Provide a more balanced or harmonious smile
- Contribute to a more youthful overall appearance
Composite resin vs porcelain
Composite resin veneers are composed of a composite polymer resin paste that bonds to your teeth. Resin is very flexible and hardens like ceramic, containing a mixtures of quartz, silica, polymer and glass. They typically involve minimal preparation of the natural tooth and can often be completed in a single visit. This type of veneer may be suitable for patients seeking a cost-effective, reversible option.
Porcelain veneers are made of glass-like ceramic material such as feldspathic porcelain. These veneers are known for their natural translucency and durability. They are custom-crafted to closely resemble the natural appearance of teeth and are typically more resistant to staining than resin alternatives.
Onsite milled veneers
At West Perth Cosmetic Dental, we use advanced technology such as CEREC CAD/CAM systems to design and manufacture veneers in-house. This may reduce the number of appointments required, depending on your case. The outcome of your veneer treatment can vary based on factors like oral hygiene, bite, lifestyle habits, and existing dental conditions.
Risks and considerations
As with any cosmetic dental procedure, veneers carry some risks. These may include sensitivity, changes to the natural tooth structure, or the possibility of future repairs or replacements. While many patients are satisfied with the results, outcomes can vary based on individual oral health and habits.
Your WPCD dentist will discuss these factors in detail during your consultation to ensure you have a clear understanding of the benefits and limitations before proceeding.
Frequently Asked Questions
Am I suitable for veneers?
How long do veneers last?
The lifespan of your dental veneers depends on the material they’re made of (porcelain or composite) and how well you take care of them. With proper care, they can last for many years. However, it’s important to note that veneers are not impervious to damage. They can chip or crack just like natural teeth, so it’s important to avoid chewing hard foods or biting your nails.
Are veneers painful?
The procedure to apply veneers is not painful. However, you may experience some discomfort during the preparation stage, when we remove a small amount of tooth enamel. We will numb your teeth before starting the procedure to help minimise any discomfort.
Can I replace my dental veneers?
Dental veneers can be replaced if they become damaged or if you’re not happy with the results. However, once your tooth enamel is removed, it cannot grow back. As such, you may need to have a dental crown placed over the tooth.
Are veneers susceptible to staining?
Both composite resin and porcelain veneers are susceptible to staining. However, ceramic veneers are less likely to stain than resin veneers. To help keep your veneers looking their best, it’s important to practice good oral hygiene habits and avoid foods or drinks that can cause staining. You should also visit our dental practice for regular cleanings and checkups.
Are veneers harmful to teeth?
When expertly applied by a dental professional, veneers are designed to preserve the health of your natural teeth. However, it’s important to note that once your tooth enamel is removed, it cannot grow back. Without proper care, the teeth underneath your veneers may become decayed.
Do veneers straighten teeth?
Veneers do not straighten the natural tooth, but they can give the impression of straightness by utilising either porcelain or resin to cover it. If you want to achieve straighter teeth, Invisalign® clear aligners may be the right solution for you. Invisalign is a virtually invisible way to straighten your teeth without braces.

Book your veneer consult
If you’re considering veneers, we invite you to book a consultation with one of our dentists. We’ll assess your suitability, answer any questions, and help you explore the most appropriate treatment options tailored to your individual needs.
Same-day veneers at West Perth Cosmetic Dental
West Perth Cosmetic Dental offers same-day veneer treatment for suitable patients. However, a lead time of up to two weeks may be required for digital planning and appointment availability.- Dental exam and cleaning
- Veneer consultation to assess suitability
- Digital wax-up and treatment planning



