Discoloured Teeth
Get a brighter, whiter smile with us!
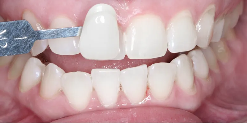
Treatments such as teeth whitening kits and UV in-chair teeth whitening can brighten discolouration up to 8 shades. With professional treatments, you can achieve fast, effective and long-term results.
Discoloured Teeth
Get a brighter, white smile with us!
Treatments such as teeth whitening kits and UV in-chair teeth whitening can brighten discolouration up to 8 shades. With professional treatments, you can achieve faster, effective and long term results.What is discolouration?
Tooth discolouration is a dental condition where your teeth have become darker than their natural colour. This can be caused by many factors, including:
- Genetics
- Certain foods and drinks that stain teeth
- Smoking or using tobacco products
- Certain medications
- Dental trauma
Discolouration can occur on the surface of your teeth or within the tooth itself. Surface stains are usually caused by the food and drinks you consume, while internal stains are usually caused by medications or trauma.
Genetic factors can also play a role in the colour of your teeth. For example, some patients are born with yellow or brown teeth.
Types of internal discolouration
Root canal darkening is a type of internal discolouration that can occur after a root canal procedure. This is caused because the tooth is no longer alive.
Tetracycline staining is a type of internal discolouration that can occur if you’ve taken certain antibiotics, such as tetracycline as a child. This is caused by the staining of the organic and inorganic structures of the teeth.
Staining from decay is a type of internal discolouration that can occur if you have tooth decay. This is caused by the staining of the tooth’s enamel and dentin.
Fluorosis is a type of internal discolouration that can occur if you’re exposed to too much fluoride. This is caused by the staining of the tooth’s enamel.
We can assist you in diagnosing the cause of your discoloured teeth, and helping you obtain a brilliantly white smile. Contact us to book a consultation today!
At West Perth Cosmetic Dental, we offer a variety of cosmetic dentistry treatments to help you achieve the smile of your dreams.
Frequently Asked Questions
What causes staining?
Factors that can contribute to staining include:
- Diet (tea, coffee and red wine can stain)
- Smoking or using tobacco products
- Certain medications
What treatments are available?
There are many ways to treat stained teeth, depending on the severity of the stains. These include:
- Teeth whitening
- Veneers
- Crowns
- Resin infiltration
- Internal bleaching
Am I suitable for teeth whitening?
If your teeth are discoloured, you may be suitable for teeth whitening. However, some factors can affect your suitability, such as:
- Type of discolouration: Usually, surface stains are simpler to get rid of than internal stains because they are superficial. Internal stains tend to be more complicated to treat because they’re inside your teeth.
- The severity of discolouration: If you have mild discolouration, you may be suitable for teeth whitening. However, if you have severe discolouration, teeth whitening alone will not solve the problem.
- Pregnancy and breast-feeding: If you’re pregnant or breastfeeding, you may not be suitable for teeth whitening because the bleaching agents can be harmful to your baby.
- Age: If you’re younger than 18 years old, you may not be suitable for teeth whitening. This is because the enamel on your teeth is still developing and can be more easily damaged by the bleaching agents used in teeth whitening.
- Dental history: If you have a history of severe tooth sensitivity, you may not be suitable for teeth whitening. Speak to our dentists if you have experienced sensitivity in the past, prior to your tooth whitening session.
- Oral health: If you have gum disease or tooth decay, you may not be suitable for teeth whitening because these conditions can make the whitening ineffective.
How often do I need teeth whitening?
Will the colour get worse?
What types of discolouration are there?
There are two types of tooth discolouration:
Extrinsic: This type of discolouration occurs on the surface of your teeth. Extrinsic stains are usually caused by the food and drinks you consume.
Intrinsic: This type of discolouration occurs within the tooth itself. Intrinsic stains are usually caused by excessive fluoride treatment, medications or trauma.
What types of discolouration are there?
There are two types of tooth discolouration:
Extrinsic: This type of discolouration occurs on the surface of your teeth. Extrinsic stains are usually caused by the food and drinks you consume.
Intrinsic: This type of discolouration occurs within the tooth itself. Intrinsic stains are usually caused by excessive fluoride treatment, medications or trauma.
Is it possible to avoid tooth discolouration?
You may be able to prevent tooth discolouration by:
- Brushing your teeth twice a day with a whitening toothpaste
- Flossing daily
- Eating a healthy diet
- Avoiding smoking or using tobacco products
- Visiting your dentist regularly for cleanings and checkups




