Single Implants
Exceptional tooth restoration
Losing a tooth can cause bone loss which affects the adjacent teeth. A single implant can replace a missing tooth permanently and restore teeth’s function. Call us now!
Single Implants
Exceptional tooth restoration
Losing a tooth can cause bone loss which affects the adjacent teeth. A single implant can replace a missing tooth permanently and restore teeth’s function. Call us now!
What are single implants?
What are single implants?
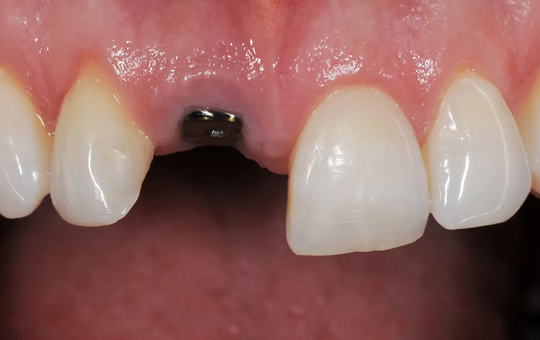
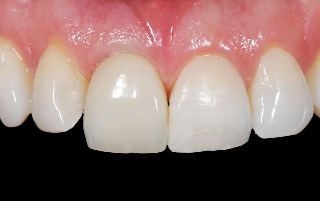
A single implant is a dental appliance that is used to replace one missing tooth. The implant is made of titanium and is placed into the jawbone to act as a replacement for the tooth root. Once the implant has healed, a crown (artificial tooth) is placed on top of it.
At West Perth Cosmetic Dental, we are proud to offer single implants to our patients. This tooth restoration procedure is an excellent way to replace one missing tooth.

If you’re interested in learning more about dental implants, or any of our other cosmetic dental treatments, we invite you to book a consultation with us. We would be happy to answer any of your questions and develop a treatment plan that is tailored to your needs.
Frequently Asked Questions
Am I suitable for dental implants?
Most adults who are missing a tooth are suitable for dental implants. Suitability depends on your current general health, dental health and the amount of bone you have for the implant. These factors can be assessed by your dentist through examination and a 3D X-ray. The best way to determine if you are a candidate for this procedure is to book a consultation with our dental practice. We will assess your case and develop a treatment plan that is tailored to your needs.
How much does it cost?
The cost of dental implants will depend on the complexity of your case and your health fund provider. To get an accurate estimate, we recommend booking a consultation with our dental practice. We are happy to discuss flexible payment plans.
Are dental implants painful?
The placement of dental implants is considered less traumatic and painful than having a tooth extraction. As it is a surgical procedure, some discomfort and swelling afterwards is expected. At West Perth Cosmetic Dental our team endeavour to make the procedure and healing as comfortable as possible. Speak to our friendly staff about sedation options and after care.
What is the success rate of dental implants?
The success rate of dental implants is very high. In most cases, they will last for many years when properly taken care of. The success of implants is affected by a number of factors including smoking, poor oral hygiene and gum disease. Follow your dentist’s aftercare instructions to get the most out of your dental implants.
Are there any risks to getting dental implants?
As with any other surgical procedure, there are some risks associated with getting dental implants, such as:
Infection: There is a small risk of infection following the placement of dental implants. However, this can be treated with antibiotics.
Sinus problems: If the sinus cavity is located directly above the dental implant, there is a risk of sinus problems. This can usually be corrected with surgery.
Dental implant failure: Although rare, there is a chance that dental implants may fail to integrate with the jawbone or may become loose over time.
My implant was done overseas, can I have the crown put on here?
Yes, we can put the crown on your implant even if it was placed overseas. We will need to see your dental records to assess the case and develop a treatment plan.
Why are dental implants more expensive in Australia than overseas?
Australia has a higher standard of care than most other countries. Dentists use expensive materials and equipment which must comply with the TGA (Therapeutic Goods Administration). Additionally, Australians earn higher wages than most of the rest of the world. Travelling overseas can be appealing for more complex or extensive dental treatments that may not be covered by insurance. Before deciding to receive treatment abroad, it is important to consider that the quality of care and infection control can vary widely between countries, especially in countries with lower living costs. We recommend consulting with one of our Australian trained cosmetic dentists prior to making any decisions to have dental work done abroad.
What are my other options?
If you are not suitable for dental implants or if you do not want to undergo surgery, we can discuss other options for tooth replacement such as bridges or dentures.



